Tratamentos Clínicos

Conheça nossos tratamentos clínicos.

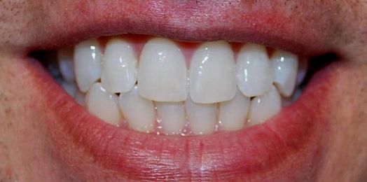
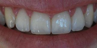
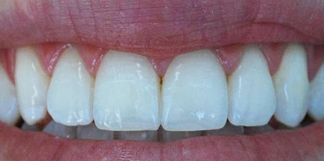
Antes e depois

Antes
Antes
Depois
Depois
Antes
Antes
Depois
Depois
Antes
Antes
Depois
Depois