Tratamentos Clínicos

Conheça nossos tratamentos clínicos.

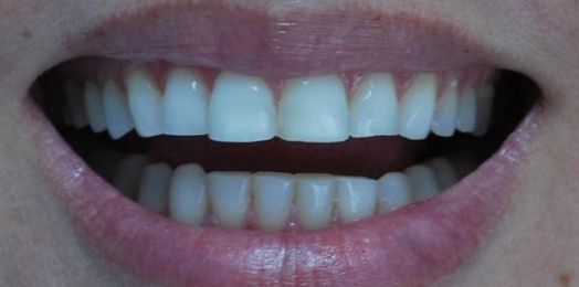
Lentes de Contato

Quer conquistar um sorriso perfeito? Agora isso é possível de maneira rápida e moderna, a aplicação de facetas de porcelana é um dos métodos mais utilizados pelos famosos, já que garantem um sorriso branquinho e livre de imperfeições.

As lentes são próteses bem finas fixadas na parte externa dos dentes, como se fossem um revestimento, proporcionando uma aparência natural. São muito utilizados para corrigir falhas, trincados, dentes desalinhados, desgastados, manchados ou com espaçamento, além de ser possível aumentar o tamanho dos dentes.

Inicialmente é feito um estudo da face do paciente a fim de que o sorriso fique harmônico com todo o rosto, e então os moldes são enviados ao laboratório onde serão confeccionados, após esse processo, as lentes são aplacadas sem dor ao paciente. O processo de aplicação da lente pode levar de duas a quatro sessões, com duas horas de duração cada.

As lentes de contato têm sido muito utilizadas por imitarem perfeitamente a cor, textura e transparência dos dentes, sendo muitas vezes, impossível diferenciar o dente natural de um com lente, além do mais são peças muito duráveis, podendo durar até vinte anos, de acordo com os hábitos do paciente, e não sofrem alteração de cor com o tempo.

A higiene das lentes deve ser a mesma dos dentes naturais, escovação após as refeições e uso de fio dental uma vez ao dia, mas ainda assim o seu dentista pode te indicar produtos que ajudam a manter a durabilidade do produto.

Marque uma avaliação

Antes e depois

Antes
Antes
Depois
Depois
Antes
Antes
Depois
Depois
Antes
Antes
Depois
Depois
Antes
Antes
Depois
Depois
Antes
Antes
Depois
Depois
Antes
Antes
Depois
Depois
Antes
Antes
Depois
Depois
Antes
Antes
Depois
Depois
Antes
Antes
Depois
Depois
Antes
Antes
Depois
Depois
Antes
Antes
Depois
Depois